Workshop Online e Ao Vivo • 03 de Fevereiro

As Verdadeiras Lentes de Contato

A Primeira Escolha do seu Paciente

Descubra como tornar as lentes de contato o principal recurso do seu acervo estético, unindo segurança técnica nos preparos e previsibilidade de resultados.

*Evento exclusivo para Cirurgiões-Dentistas e acadêmicos.

Desafios Reais do Consultório

Muitos colegas dominam a técnica, mas enfrentam barreiras na hora de implementar a cerâmica como padrão ouro no consultório. Você se identifica?

Dificuldade na Precificação

A dúvida entre cobrar o justo e o medo do paciente achar caro, muitas vezes vendo o laboratório apenas como um custo alto.

Resina x Cerâmica

O desafio de mostrar para o paciente que a cerâmica, apesar do investimento maior, traz longevidade e estabilidade superior.

Segurança nos Preparos

O receio de ser invasivo demais ou, ao contrário, não ter espaço suficiente para o técnico trabalhar a estética.

Comunicação Técnica

Como explicar o procedimento de forma que o paciente entenda o valor agregado, sem parecer que você está apenas "vendendo".

Odontologia Estética de excelência!

"O objetivo deste workshop é te dar as ferramentas para que você possa olhar para qualquer caso clínico e saber exatamente quando indicar a cerâmica, como executar o preparo minimamente invasivo e como apresentar isso ao paciente com segurança."

Metodologia Validada

Conteúdo Programático

O que vamos abordar nas 2 horas de aula

1

Visão de Mercado e Posicionamento

Uma análise do cenário atual e como a estética se posiciona. Por que focar em laminados pode otimizar sua agenda.

2

Resina Composta vs. Cerâmica

Aspectos técnicos decisivos. Como apresentar a diferença de longevidade e estabilidade de cor para o paciente.

3

Protocolo de Preparos Minimamente Invasivos

Passo a passo clínico. Como realizar desgastes estratégicos preservando estrutura dental (As verdadeiras lentes de contato).

4

Precificação e Comunicação

Como calcular seus custos corretamente e como esclarecer as dúvidas dos pacientes sobre o investimento no tratamento.

Para Todos os Níveis

Para quem é este Workshop?

  • Dentistas iniciantes na estética
  • Especialistas que desejam refinar técnica
  • Profissionais de HOF que querem complementar tratamentos
  • Quem busca aumentar o faturamento do consultório

"Não importa o tempo de formado, o foco é a excelência clínica e o resultado."

Resultados que Transformam Sorrisos

Casos reais executados com a técnica que você vai dominar.

ANTES 01 ANTES 02 ANTES 03 ANTES 04 ANTES 05
ANTES 01 ANTES 02 ANTES 03 ANTES 04 ANTES 05

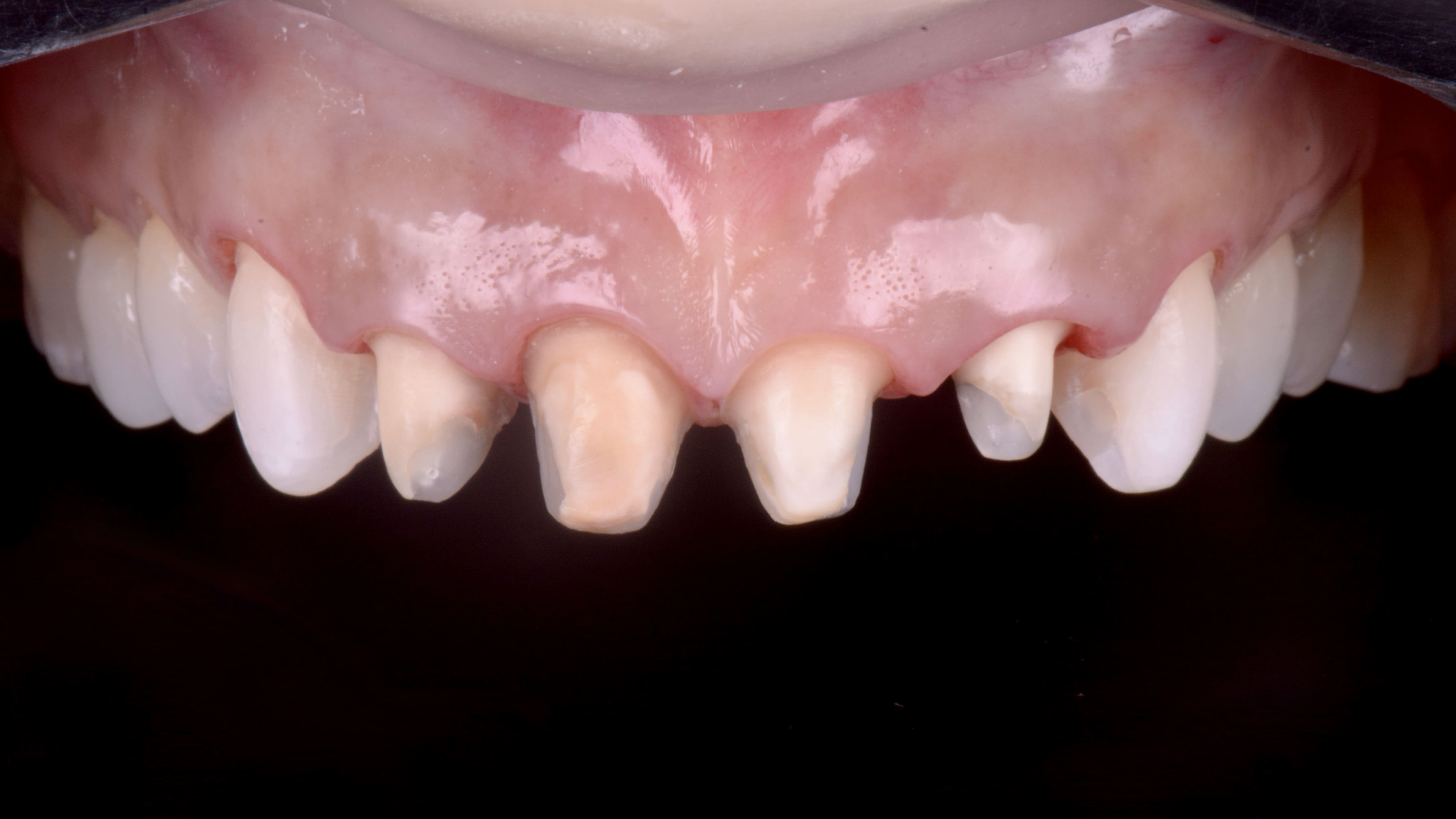
A Realidade do Desgaste Mínimo

Veja a diferença entre o medo do paciente e a técnica conservadora que ensinamos.

DESGASTE ANTES
DESGASTE DEPOIS
Dr Lucas

PROFESSOR

Dr. Lucas Pim

"Meu objetivo é encurtar o seu caminho. Com 15 anos de experiência clínica, trago uma metodologia testada na realidade do consultório para simplificar o complexo, garantindo que você entregue longevidade e tenha total segurança em cada caso."

Mais de 1.000 casos executados
+1.000 Alunos Dentistas
Casos de alta complexidade estética
Longevidade clínica comprovada

INSCRIÇÃO WORKSHOP

AS VERDADEIRAS LENTES DE CONTATO

Data

03 de Fevereiro

Horário

20:00 (Ao Vivo)

De R$ 197,00
R$ 19,99

Valor simbólico para garantir o compromisso dos participantes.

O que está incluso na sua inscrição:

  • Acesso à transmissão ao vivo (MEET)
  • Sessão de Perguntas e Respostas com Dr. Lucas
  • Material de Apoio: Checklist de Avaliação e Planilha de Precificação
  • Modelos de Comunicação para apresentar o tratamento
QUERO GARANTIR MINHA VAGA
Pagamento processado em ambiente seguro

Dúvidas Frequentes